最新の設備機器を導入し、最適な医療を提供します。
ABOUT 設備紹介
GE社製 1.5T MRI(核磁気共鳴撮像同装置)
-
MRIは、診断を行なうために適した断面を縦、横、斜めなど自由に撮影できるのが特長です。
CTのようにX線を使わず、“磁場” と “電波” を使って画像を撮影します。
放射線による被曝がなく、無侵襲・低侵襲で安全な検査です。
骨や空気による画像への悪影響が全く無いため、頭蓋骨に囲まれた脳や、脊髄などを鮮明に診断できます。 -
MRIによる頭部断層撮像
任意の方向の断層撮像が可能で、微小な脳梗塞、脳腫瘍などの描出に優れた検査です。
上の写真は脳の縦方向の断層像です。矢印の先には聴神経腫瘍が写っています 。

MRA(血管撮影)画像
造影剤を使用することなく脳血管像を描出することができます。
椎骨動脈の動脈瘤を多方向から見るために作成した3D画像の動画です。
左側面→正面→右側面方向に回転しています。

キャノンメディカルシステムズ製 X線CT(コンピュータ断層装置)
-
当院では、高性能の80列マルチスライスCTスキャナを設置しております。
この検査では、患者様が寝台に横になるだけで苦痛なく頭部や胸部・腹部の断層像(輪切り)が鮮明に撮れます。検査はとても簡単で短時間ながら広範囲の撮影が行え、頭部外傷・脳出血・脳梗塞等の頭部疾患から胸部疾患および腹部臓器(肝・胆・膵・腎・膀胱・その他)疾患にいたるまで、全員の診断が可能です。
くわしい検査内容は、医師またはスタッフまでお気軽にお尋ねください。 -
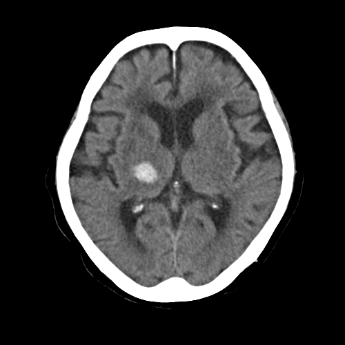
CTによる頭部断層撮影
横断像により脳内出血、脳梗塞、脳腫瘍などの病変を調べます。 左の写真上で白く写っている部分が脳内出血です。

CTによる3次元血管撮影(3DCT Ang1o)
造影剤を使用して撮影することで、CTでも簡便に、短い検査時間で脳血管の異常を調べることができます。

CTによる3次元血管撮影(3DCT Ang1o)
造影剤を使用して撮影することで、CTでも簡便に、短い検査時間で脳血管の異常を調べることができます。赤く表示している血管は頚動脈です。

腹部CT(冠状断)
マルチスライスCTにより短時間で撮影が行えます。 通常の横断像(輪切り)を撮影した後、再構成を 行うことにより、多方向から観察することができます。

医用画像表示・管理システム
-
平成15年4月より医用画像表示(電子シャーカステン)・管理システムを導入しました。MRIやCT、一般撮影などで撮影された画像はサーバーに転送され、各診察室、各階のナースステーションで過去の検査画像も含め、検索・表示することができます。(右の写真は電子シャーカステンを使用した外来での診察の模様です)また、サーバーで画像を管理・保存することで、これまでの保存用フィルムを廃止することになり、資源の節約につながると思われます。
-
その他の検査機器
X線透視診断装置(VF検査)
摂食嚥下チームにより、ビデオ造影検査(Videofluorography:VF)を行い、根拠に基づいた確かな嚥下機能評価をすすめています。VFとは、微弱なX線とビデオ装置を組み合わせて、対象者が実際に食物を口に取り込み、咀嚼し、喉に送り込み、飲み込むまでの機能を動的に確認する検査の事で、当院では(キャノン社製PlessartZERO)を用いてVFを実施します。ここでは食事場面に関与する職員や対象者のご家族も同行して、咀嚼や嚥下の実際の特徴を捉え、どのような局在形態をどのような方法で食べて頂くことが良いのかを検討します。

超音波装置
生活習慣病によって引き起こされる動脈硬化や血栓という血管疾患が主な原因となり、脳卒中や心筋梗塞を発症する事例が、近年増加しております。
超音波画像診断装置による血管エコー検査で血管の状況を見ることにより、循環器系の生活習慣病の早期発見や予防につながります。

超音波(エコー)装置による頚動脈画像
超音波装置により、安全に頚動脈の状態、狭窄の有無や程度、血流量などを調べることができます。
左は総頚動脈が内頚動脈と外頚動脈に分岐する部分の写真です。

超音波(エコー)装置による ドップラー法を用いた 頚動脈画像
超音波装置により、安全に頚動脈の状態、狭窄の有無や程度、血流量などを調べることができます。
左はドップラー法を用いた頚動脈分岐部の写真です。分岐部に出来た動脈硬化性の病変(矢印)のため、内頚動脈への血流(赤い部分)が妨げられているところが、明瞭に描出されています。
